矯正歯科、歯列矯正ならアルデブラン歯科・矯正歯科 神戸三宮院

STAFF BLOG
スタッフ体験記インビザライン

皆さま、こんにちは。
アルデブラン・デンタルクリニック神戸三宮院 歯科助手のYです。

 

今回は矯正治療の精密検査について詳しくご紹介します。
検査項目は以下となります。

 

・レントゲン
・虫歯、歯周病のチェック
・口腔内、顔面写真
・スキャン

 

レントゲンの撮影

まず、レントゲンを2種類撮っていきます。

パノラマ

上下の歯列全体を1枚の写真に収めます。
これで分かるのは、歯や歯根、親知らず、骨の状態、虫歯や歯周病などといった口腔内の状態を確認することができます。

 

パノラマレントゲン

 

セファロ

主に矯正治療で使用する横顔のレントゲンです。骨格や歯の傾きが分かります。
頭の骨や顎の骨、前歯の位置など様々な角度から調べることができます。

 

セファロ

 

場合によっては、より精密に分かるCT撮影をすることもあります。
歯科領域用に開発された歯科用コーンビームCT(CBCT)を使用して撮影します。

 

ここで撮影した画像を三次元再構築して、埋伏歯(まいふくし=骨の中に埋まっている歯)など三次元的な位置の確認ができます。
レントゲンを撮ることによって、お口の中やお顔を見ただけではわからない情報を知ることができます。

 

歯周病や虫歯のチェック

次に、歯周病と虫歯が無いかのチェックをします。
重度歯周病の場合は、矯正を行うと歯の負担がかなり大きい為、歯周治療をまず行ってから矯正に移ります。

 

虫歯があった場合、治療してから矯正に移った方が良いです。(当院でも可能な範囲であれば治療を行なっております)
そのため、歯周病と虫歯のチェックは必須です。

 

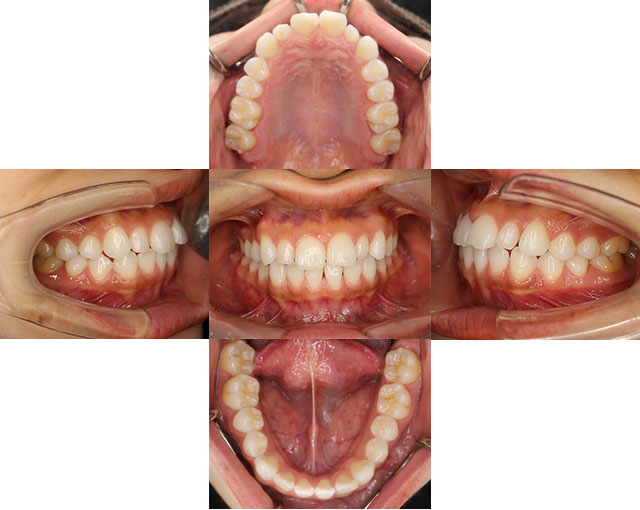
現在の歯並びとお顔の写真撮影

次に、現在の歯並びとお顔の写真を撮ります。

 

口腔内写真

 

歯の形態や歯列、かみ合わせの状態の確認をします。
治療経過の記録や、治療前後の比較、患者様への説明に使用するためにも使います。

 

顔面写真も撮ります。
正面と側面の顔面規格写真を撮影し、顔の形やバランス、左右対称性、および口唇閉鎖時(くちびるを閉じたとき)の顔の筋肉の緊張などを確認します。

 

顔面写真

 

口腔内スキャン

そして最後に、口腔内スキャンをします。
口腔内スキャナーiTeroを使用して、歯の模型を作成します。

 

実際の歯1本1本の大きさや形の計測、歯列弓(しれつきゅう=前歯の先端から奥歯にかけての曲線)の幅、現在のかみ合わせなどを確認します。

 

以上が精密検査の内容となっております。
ここまでの所要時間は約45分ほどです。(検査項目や混雑状況によって変化しますので、お時間に余裕のあるときの来院をオススメします)

 

データを送信し、約2週間ほどで治療計画が出来上がります。

 

歯のクリーニングも実施

当院では、歯のクリーニングも行っております。
私も3~4ヶ月に1回と当院で定期的に行なっております。

 

歯のクリーニングとは、歯の表面に付着した、細菌汚れ(歯垢、歯石)着色汚れを一本一本丁寧に専用の器具や機械を使って取り除きます。
最後に歯の表面をツルツルに磨いて汚れを付きにくくし、清掃性の高い清潔な口腔内に改善します。

 

虫歯や歯周病といったトラブルから歯や歯ぐきを守ることが出来ます。

 

今までそんなに歯に関して意識をした事がなかった…という方は意外と多いです。
これから矯正を始めるにあたり、定期的なクリーニングで歯の健康を良好な状態でしっかり保ちましょう!

 

次回は、治療計画について詳しくご紹介します。

 

 
 

神戸三宮の矯正歯科・審美歯科
アルデブランデンタルクリニック神戸三宮院

 
矯正無料カウンセリングの詳細情報はこちら
お問い合わせ・無料相談のご予約
tel
078-393-4618

電話受付
平日 10:30~13:00 / 14:30~19:30
土曜 10:30~16:30

time
診療時間

平日 10:30~13:00 / 14:30~19:30
土曜 10:30~16:30
休診日 木曜・日曜・祝日

web
24時間WEB予約
24時間受付のWEB予約

アルデブラン歯科・矯正歯科 神戸三宮院の設備紹介

アルデブラン歯科・矯正歯科 神戸三宮院の一般診療総合サイト

矯正歯科ステーション

アルデブラン歯科・矯正歯科 神戸三宮院 関連リンク