
皆さま、こんにちは。 アルデブラン・デンタルクリニック神戸三宮院 歯科助手のYです。 スタッフの「インビザライン体験記その6」では、デンタルモニタリングについてご紹介します。 デンタルモニタリングとは、スマートフ […]


皆さま、こんにちは。 アルデブラン・デンタルクリニック神戸三宮院 歯科助手のYです。 スタッフの「インビザライン体験記その6」では、デンタルモニタリングについてご紹介します。 デンタルモニタリングとは、スマートフ […]

皆さま、こんにちは。 アルデブラン・デンタルクリニック神戸三宮院 歯科助手のYです。 今回は、インビザラインをするにあたっての注意点をご紹介します。 そもそも、インビザライン矯正は ・目立ちにくい ・仕上がりが綺 […]

皆さま、こんにちは。 アルデブラン・デンタルクリニック神戸三宮院 歯科助手のYです。 本日はインビザラインが届いた後の流れについてご紹介します。 クリンチェックも確認し、約2週間ほどでインビザラインが届きました。 […]

皆さま、こんにちは。 アルデブラン・デンタルクリニック神戸三宮院 歯科助手のYです。 精密検査を行ってから約2週間が経ち、治療計画が出来上がりました。 今回はクリンチェック(治療計画)についてご紹介します。 クリ […]

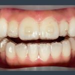
皆さま、こんにちは。 アルデブラン・デンタルクリニック神戸三宮院 歯科助手のYです。 今回は矯正治療の精密検査について詳しくご紹介します。 検査項目は以下となります。 ・レントゲン ・虫歯、歯周病のチェック ・口 […]

皆さま、こんにちは。 アルデブラン・デンタルクリニック神戸三宮院 歯科助手のYです。 私事ですが、この度インビザライン矯正を始めるとこになりました。 インビザライン矯正を始めるにあたり、矯正治療体験ブログを更新していこうと思い […]


