歯肉整形とは?
- 自信の笑顔を手に入れる歯肉整形
- 魅力的なスマイルライン(笑った時に見える歯の形)の条件は、歯ぐきのラインがきれいに揃っていることです。歯ぐきのラインが不揃いだったり下がっている場合は、歯が大きく見えたり小さく見えたりして、印象が良くありません。
歯ぐきのラインが適切ではない場合は、左右の目をつなぐ「瞳眼線」と呼ばれる水平線や顔の真ん中(正中線)を基準にしながら、自然なラインに見えるように歯肉を切除し、バランスを調整することが歯肉整形です。


こんなお悩みの方に最適の治療
- 人と話したり、笑ったときに歯ぐきの露出が多い
- 歯ぐきのラインが凸凹で不揃いの方
- 歯が小さいことがコンプレックスに感じる方
- 歯の形が大小不揃いの方
歯肉整形の特徴
- 麻酔を使うので痛みがほとんどない
- 歯ぐきが見えにくくなる
- 短時間で施術が終わる
- 歯ぐきの黒ずみを改善できる
- 歯ぐきのラインを整えることができる
- 歯のデザインを修正し自信の笑顔が手に入る
- 歯肉整形のリスク
- ・わずかだが後戻りの可能性がある ・2週間前後、赤味や微出血することがある ・術後、一時的に痛みが残ることがある
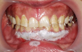
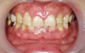
歯肉整形の症例
- 歯肉を電気メスで切除する事によって笑った時に歯が見える症状(ガミースマイル)を改善する事を目的とした治療です。
- 治療前

- 治療後
| 治療名(症例) | 歯肉整形(ガミースマイル) |
|---|---|
| 症例 | ガミースマイル |
| 治療本数 | 8本 |
| 治療期間(通院回数) | 1日(2回) |
| 費用 | 4万円+TAX |
| リスク副作用 | ・切除した歯茎が後戻りする可能性があります。 ・術後2週間程は赤みや微出血が生じる場合があります。 ・2~3日は麻酔をした部分が内出血となって、しみたり痛みを伴う場合があります。 |
歯肉整形の料金
| 歯肉整形 笑った時に見える歯ぐきの露出が多い『ガミースマイル』を改善する審美治療です。 |
1歯 5,000円 税込5,500円 |
|---|
- ※すべて保険適用外です。
歯ぐきのガムピーリング
- 着色汚れなどで黒ずんだ歯ぐきをピンクの歯ぐきに改善
歯ぐきのホワイトニングと言われるガムピーリング - たとえば、タバコをよく吸う人はメラニン色素が沈着しやすく、歯ぐきの黒ずみが目立ちます。歯ぐきのホワイトニングといわれるガムピーリングは、そのような黒ずみを解消する治療法です。
黒ずみの原因は、メラニン色素によるもののほか、金属を使用した歯の治療などによっても起こります。
施術内容は簡単で特殊な薬剤を歯ぐきに塗るだけです。塗布後には歯ぐきに白い膜ができますが、1週間ほどでそれが剥がれます。膜とともに色素が剥がれ、本来の美しい歯ぐきの色を取り戻します。

施術前


施術中


施術後
こんなお悩みの方に最適の治療
- 笑った時の歯ぐきの黒ずみが気になる
- ホワイトニングと併用して最高の笑顔を手に入れたい
- 人と接する機会が多く第一印象を良くしたい
- 結婚式などのイベントが控えている方
ガムピーリングは歯のホワイトニングと併用すると、さらに効果的です。
ガムピーリングの料金
| ガムピーリング 黒ずんだ歯ぐきを健康的なピンク色に改善する審美治療です。 |
両顎(上下の両方) 15,000円 税込16,500円 |
|---|
- ※すべて保険適用外です。



















