
- 歯の審美性・機能性の修復を行うセラミック治療
セラミック治療とは、虫歯などで削った部分の修復材料として「セラミック」を使用し補う歯科治療です。審美性・機能性ともに優れており、まるで天然歯のような白く美しい歯にすることができます。
欠損部分の補綴だけでなく、短期間での歯並びの改善や、歯の色や形を希望通りにすることも可能です。セラミック治療は金属を一切使用しませんので金属アレルギーの方にも安心の治療法です。

- セラミックとは?
セラミックとは、陶器と同じ材料のことを言います。
歯科治療で使用する金属やプラスチックなどの歯科治療用素材と比べ、審美性、機能性、耐久性など、全ての面で優れた歯の修復素材です。

- 歯の色・形を変えたい
自然な白い歯の色から真っ白な歯、そして周囲の歯に合わせて形も自由に変えられます。

- 歯並びを短期間で治したい
セラミックをかぶせて歯並びを改善できます。通常の矯正治療と比べ、短期間で歯並びを改善することができます。

- 銀歯や変色した被せ物・詰め物を白くしたい
セラミックで目立つ銀歯や変色してしまった被せ物・詰め物を、費用を抑えて白い歯にできます。

- 結婚式や就活などのイベントに合わせ歯をきれいに
矯正やホワイトニングより短期間で白く印象の良い歯へ改善。短期集中治療もお気軽にご相談ください。

- セラミック歯で銀歯や詰め物を白くする
保険診療では、奥歯には銀色の詰めものが入ることになります。
「奥歯の銀歯を白くしたい」「金属アレルギーが心配」とお考えの方には、ジルコニアセラミックによる白く自然な見た目の詰め物がお勧めです。
体に優しいジルコニアセラミックを使用しています。


- ジルコニアセラミック
- ジルコニアセラミックは、被せ物や差し歯の素材が全てセラミック(陶器材料)で出来ている白い歯です。金属を使用する被せ物・詰め物と違って、全て光を透すセラミックでできているので、天然の歯に近い透明感ある綺麗な仕上がりとなります。金属を使用しないので、金属アレルギーをお持ちの方にも安心して使用することができます。最高級オールセラミックのジルコニアセラミックは、見た目が綺麗で体に優しい白い歯です。

- 金属アレルギーの心配がない
銀歯に使用されている金属は、金銀パラジウム合金と呼ばれる金属です。金・銀・銅・パラジウムを主成分とする合金は、金属アレルギーを引き起こす可能性があります。

- 虫歯になる可能性が少ない
削った歯にピッタリとした被せ物をつけても、被せ物の境目から虫歯菌が侵入し虫歯になることがあります。ジルコニアセラミックなら長期間変形せず、虫歯菌を含んだ歯垢の付着が少なく、新たに虫歯を作る危険性が低くなります。

- 天然歯に近い輝き
金属を使用している治療では、時間の経過とともに歯と歯肉の境目に金属が見えたり、歯肉が黒ずんで見える場合があります。ジルコニアセラミックは金属を使用していないので境い目が綺麗で自然な歯が持続します。
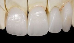
- ジルコニアセラミッククラウン(20代 女性 治療期間1カ月)
- 他院で入れた前歯の被せ物の形態や色調が隣の歯と合っていないため、やり替えたいとの事でご来院されました。切端に透明感があり、歯頚部から歯冠部にかけてグラデーションがある難しい歯でしたがトップテクニシャンとの連携により見事に再現する事が出来ました。
- 治療前

- 治療後
| 治療方法 | ジルコニアセラミッククラウンによる審美歯科治療 |
|---|---|
| 治療本数 | 2本 |
| 治療期間(通院回数) | 1カ月(4回) |
| 費用 | ジルコニアセラミッククラウン 24万円+TAX 仮歯 6千円+TAX |
| リスク副作用 | 審美歯科治療に関するリスクや副作用について、詳しくはこちらをご参照ください。 |

- ジルコニアセラミックは、歯肉に優しく、強度に優れ、白く美しい自然なセラミック歯です。
- 国産セラミックのジルコニアセラミックには、より自然で透明感のある美しさがあります。また、金属を使用していないので金属アレルギーの心配や金属が黒ずんで歯がくすんで見えることがありません。
- ※すべて保険適用外です。
| ジルコニアセラミック 審美性と機能性に優れたジルコニアを使用した審美治療。 |
1本 120,000円 税込132,000円 |
|---|

- 歯並びの最も要となる真ん中4本の歯をジルコニアセラミック歯に置き換えて歯並びを治します。ジルコニアセラミック歯4本プラン(Z4プラン)
- ※すべて保険適用外です。
| ジルコニアセラミック(Z4プラン) 4本セットのプランです。 |
450,000円 税込495,000円 |
|---|

- 歯並びの基本となる犬歯から犬歯の6本の歯をジルコニアセラミック歯に置き換えて歯並びを治します。ジルコニアセラミック歯6本のプラン(Z6プラン)
- ※すべて保険適用外です。
| ジルコニアセラミック(Z6プラン) 6本セットのプランです。 |
670,000円 税込737,000円 |
|---|

- 大きく笑って見える第一小臼歯間の8本の歯をオールセラミック歯、またはジルコニアセラミック歯に置き換えて歯並びを治します。ジルコニアセラミック歯8本のプラン(Z8プラン)
- ※すべて保険適用外です。
| ジルコニアセラミック(Z8プラン) 8本セットのプランです。 |
890,000円 税込979,000円 |
|---|
- フルジルコニアで銀歯を白い歯に、
奥歯など目立たないに箇所におすすめの人工歯 - 銀歯があると気になって大きく笑えないという方へ。銀歯を白い歯に変えるのに、当院ではフルジルコニアをオススメしています。身体にやさしく丈夫な素材ジルコニアを全てに使用した人工歯です。ジルコニアセラミックやオールセラミックに比較して透明感がなく人工的ですが、奥歯の銀歯を白い歯にリーズナブルに変えるのに適しています。
- ※すべて保険適用外です。

| フルジルコニアクラウン 強度に優れたフルジルコニアの被せ物 |
1本 60,000円 税込66,000円 |
|---|---|
| フルジルコニアインレー 強度に優れたフルジルコニアの詰め物 |
60,000円 税込66,000円 |

















